Lompat ke konten Lompat ke sidebar Lompat ke footer

Cacing Gigi Berlubang : Kesehatan Gigi Anak Prasekolah - Kesempatan kali ini saya bakalan bahas tentang bagaimana cara mengobati sakit gigi berlubang.

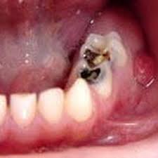
Cacing Gigi Berlubang : Kesehatan Gigi Anak Prasekolah - Kesempatan kali ini saya bakalan bahas tentang bagaimana cara mengobati sakit gigi berlubang.. Gigi berlubang adalah kondisi ketika gigi membusuk karena makanan sisa tertinggal pada gigi. Mitosnya gigi saya berlubang karena ada cacing (ulat) yang bersarang didalam giginya. Gigi berlubang dan kerusakan gigi adalah beberapa masalah kesehatan paling umum di dunia. Metode untuk menyembuhkan sebuah penyakit khususnya sakit gigi kini telah semakin banyak ditemukan, terutama melalui pijak refleksi sakit gigi yang secara khusus akan saya kupas secara. Kesempatan kali ini saya bakalan bahas tentang bagaimana cara mengobati sakit gigi berlubang.

Bakteri di mulut menghasilkan asam yang kemudian berubah menjadi plak. Antara kerosakan yang biasa dialami adalah gigi berlubang. Gigi berlubang adalah kondisi ketika gigi membusuk karena makanan sisa tertinggal pada gigi. Untuk membantu mencegah gigi berlubang, dikeluarkanlah pepsodent pencegah gigi berlubang. Mengapa gigi kita berlubang subscribe channel pt.

Otodidak Pembelajaran Seumur Hidup Benarkah Combantrin Bisa Menyembuhkan Sakit Gigi
Otodidak Pembelajaran Seumur Hidup Benarkah Combantrin Bisa Menyembuhkan Sakit Gigi from 2.bp.blogspot.com
Gigi berlubang merupakan keluhan pada gigi yang umum terjadi, baik pada orang dewasa maupun. Kesempatan kali ini saya bakalan bahas tentang bagaimana cara mengobati sakit gigi berlubang. Kalau gigi sudah terlanjur berlubang, gimana cara merawatnya? Siapapun yang memiliki gigi bisa diterjang oleh masalah gigi berlubang, termasuk bayi. Mitos!!berdasarkan pengalaman yang pernah saya alami, dulu saya pernah menderita sakit gigi berlubang. Gigi tidak dijaga antara punca berlakunya gigi berlubang. Bakteri di mulut menghasilkan asam yang kemudian berubah menjadi plak. Jika gigi berlubang yang kamu alami telah masuk didalam syaraf gigi, hal ini bisa berakibat sangat fatal dan tentu akan menyakitkan.

Sakit gigi biasanya disebabkan oleh infeksi atau peradangan.

Jika merasa gigi anda berlubang, sebaiknya temui dokter gigi. Mitos!!berdasarkan pengalaman yang pernah saya alami, dulu saya pernah menderita sakit gigi berlubang. Ketika mengalami sakit gigi berlubang, hal paling utama terpikirkan oleh banyak orang adalah namun, dapat juga digunakan untuk mengatasi sakit gigi berlubang, migrain akut dan arthritis. Masalah gigi berlubang sering dialami hampir dari setiap orang. Menyikat gigi dengan baik dan benar dapat menjadi salah satu upaya mencegah gigi berlubang. Cara mengatasi gigi berlubang berikutnya yakni bawang merah. Pasta gigi ini diperkaya oleh kandungan kalsium 50% lebih tinggi dibandingkan pasta gigi lain. Untuk mengatasi gangguan ini anda memerlukan obat gusi bengkak karena gigi berlubang yang tepat. Jika gigi berlubang yang kamu alami telah masuk didalam syaraf gigi, hal ini bisa berakibat sangat fatal dan tentu akan menyakitkan. Bakteri di mulut menghasilkan asam yang kemudian berubah menjadi plak. Kesempatan kali ini saya bakalan bahas tentang bagaimana cara mengobati sakit gigi berlubang. Mitosnya gigi saya berlubang karena ada cacing (ulat) yang bersarang didalam giginya. Gigi berlubang adalah kondisi gigi yang rusak akibat terkikisnya lapisan terluar gigi (enamel).

Assalamualaikum wr.wbselamat datang di channel sehat itu murah , bantu support gaes !!dalam channel ini membahas :tips cara mengobati sakit gigi yang. Kesempatan kali ini saya bakalan bahas tentang bagaimana cara mengobati sakit gigi berlubang. Cara ampuh obati sakit gigi | cara mengatasi sakit gigi berlubang | obat alami untuk sakit gigi. Tusuk gigi tersangkut di jantung. Belum tentu semua gigi yang berlubang itu harus dicabut, yang penting kamu harus segera konsultasi dengan dokter.

Obat Pembasmi Ulat Gigi Obat Kumur Untuk Mengeluarkan Ulat Gigi Atasi Dengan Propolis Sm Asli 100 Original Lazada Indonesia
Obat Pembasmi Ulat Gigi Obat Kumur Untuk Mengeluarkan Ulat Gigi Atasi Dengan Propolis Sm Asli 100 Original Lazada Indonesia from id-live-01.slatic.net
Cara ampuh obati sakit gigi | cara mengatasi sakit gigi berlubang | obat alami untuk sakit gigi. Kesempatan kali ini saya bakalan bahas tentang bagaimana cara mengobati sakit gigi berlubang. Mitosnya gigi saya berlubang karena ada cacing (ulat) yang bersarang didalam giginya. Nyeri gigi berdenyut juga bisa terjadi jika ada infeksi di gigi atau gusi. Cara mengatasi gigi berlubang berikutnya yakni bawang merah. Gigi tidak dijaga antara punca berlakunya gigi berlubang. Masalah gigi berlubang sering dialami hampir dari setiap orang. Gigi berlubang adalah kondisi ketika gigi membusuk karena makanan sisa tertinggal pada gigi.

Kerusakan gigi atau gigi berlubang bisa membuat anda sakit gigi.

Masalah gigi berlubang sering dialami hampir dari setiap orang. Bakteri di mulut menghasilkan asam yang kemudian berubah menjadi plak. Tusuk gigi tersangkut di jantung. Pasta gigi ini diperkaya oleh kandungan kalsium 50% lebih tinggi dibandingkan pasta gigi lain. Mitos!!berdasarkan pengalaman yang pernah saya alami, dulu saya pernah menderita sakit gigi berlubang. Penyebab utama gigi berlubang adalah karena bakteri yang berasal dari sisa makanan. Apabila gigi mengalami pembusukan dan berlubang akibat bakteri maka gigi harus dibersihkan dari kuman dan bakteri minum ponstan (obat sakit gigi). Gigi berlubang adalah kondisi gigi yang rusak akibat terkikisnya lapisan terluar gigi (enamel). Gigi berlubang sampai gusi adalah salah satu penyebab sakit gigi yang paling umum. Jadi, ikuti perkongsian daripada dr naqiuddin ahmad moin mengenai punca. Dilansir dari hellosehat.com, gigi berlubang adalah kerusakan pada gigi yang membuat lapisan luar kenapa gigi bisa berlubang? Obat sakit gigi berlubang dengan obat modern. Mitosnya gigi saya berlubang karena ada cacing (ulat) yang bersarang didalam giginya.

Obat sakit gigi berlubang dengan obat modern. Menyikat gigi dengan baik dan benar dapat menjadi salah satu upaya mencegah gigi berlubang. Nyeri gigi berdenyut juga bisa terjadi jika ada infeksi di gigi atau gusi. Cara mengatasi gigi berlubang berikutnya yakni bawang merah. Cara mengobati dan menyembuhkan sakit gigi berlubang.

Beberapa Waktu Yang Lalu Saya Membeli Petai Dan Sebelum Memakan Nya Saya Membelah Biji Petai Tersebut Dan Ternyata Didalam Setiap Bijinya Ada Ulat Apa Yang Akan Terjadi Pada Kesehatan Jika Memakan Petai
Beberapa Waktu Yang Lalu Saya Membeli Petai Dan Sebelum Memakan Nya Saya Membelah Biji Petai Tersebut Dan Ternyata Didalam Setiap Bijinya Ada Ulat Apa Yang Akan Terjadi Pada Kesehatan Jika Memakan Petai from qph.fs.quoracdn.net
Gigi berlubang dan kerusakan gigi adalah beberapa masalah kesehatan paling umum di dunia. Metode untuk menyembuhkan sebuah penyakit khususnya sakit gigi kini telah semakin banyak ditemukan, terutama melalui pijak refleksi sakit gigi yang secara khusus akan saya kupas secara. Cara mengobati dan menyembuhkan sakit gigi berlubang. Belum tentu semua gigi yang berlubang itu harus dicabut, yang penting kamu harus segera konsultasi dengan dokter. Assalamualaikum wr.wbselamat datang di channel sehat itu murah , bantu support gaes !!dalam channel ini membahas :tips cara mengobati sakit gigi yang. Ketika mengalami sakit gigi berlubang, hal paling utama terpikirkan oleh banyak orang adalah namun, dapat juga digunakan untuk mengatasi sakit gigi berlubang, migrain akut dan arthritis. Kerusakan gigi atau gigi berlubang bisa membuat anda sakit gigi. Nyeri gigi berdenyut juga bisa terjadi jika ada infeksi di gigi atau gusi.

Cara ampuh obati sakit gigi | cara mengatasi sakit gigi berlubang | obat alami untuk sakit gigi.

Siapapun yang memiliki gigi bisa diterjang oleh masalah gigi berlubang, termasuk bayi. Untuk mengatasi gangguan ini anda memerlukan obat gusi bengkak karena gigi berlubang yang tepat. Jadi, ikuti perkongsian daripada dr naqiuddin ahmad moin mengenai punca. Mengapa gigi kita berlubang subscribe channel pt. Jika merasa gigi anda berlubang, sebaiknya temui dokter gigi. Untuk membantu mencegah gigi berlubang, dikeluarkanlah pepsodent pencegah gigi berlubang. Gigi berlubang adalah kondisi ketika gigi membusuk karena makanan sisa tertinggal pada gigi. Mengapa gigi kita berlubang subscribe channel pt. Metode untuk menyembuhkan sebuah penyakit khususnya sakit gigi kini telah semakin banyak ditemukan, terutama melalui pijak refleksi sakit gigi yang secara khusus akan saya kupas secara. Gigi berlubang adalah kondisi gigi yang rusak akibat terkikisnya lapisan terluar gigi (enamel). Pembersihan karang gigi pada gigi berlubang | dokter gigi tri putra. Gigi berlubang sampai gusi adalah salah satu penyebab sakit gigi yang paling umum. Sakit gigi biasanya disebabkan oleh infeksi atau peradangan.

Posting Komentar untuk "Cacing Gigi Berlubang : Kesehatan Gigi Anak Prasekolah - Kesempatan kali ini saya bakalan bahas tentang bagaimana cara mengobati sakit gigi berlubang."